江田駅の歯医者 荏田ファミリー歯科・矯正歯科
横浜市青葉区・江田駅すぐの荏田ファミリー歯科・矯正歯科では、透明なマウスピース型矯正「インビザライン」や「エンジェルアライナー」、そして従来の「ワイヤー矯正」の3種類の矯正方法をご用意しています。
患者さま一人ひとりのライフスタイルや症状に合わせて、最適な矯正プランをご提案します。
横浜市青葉区・江田駅すぐの荏田ファミリー歯科・矯正歯科では、透明なマウスピース型矯正「インビザライン」や「エンジェルアライナー」、そして従来の「ワイヤー矯正」の3種類の矯正方法をご用意しています。
患者さま一人ひとりのライフスタイルや症状に合わせて、最適な矯正プランをご提案します。
上記に当てはまる方はマウスピース矯正で解決できるかもしれません。
気になる方は江田駅すぐの荏田ファミリー歯科まで一度ご相談ください
マウスピース矯正は「つけるだけ」の簡単な装置に見えるかもしれませんが、実際には歯並びやかみ合わせを考慮した専門的な診断と、緻密な治療計画があってこそ成り立つ治療です。
インビザラインはあくまで“ツール”であり、その成果を左右するのは治療を行う歯科医師の技術と経験です。
荏田ファミリー歯科・矯正歯科の院長・八幡誠は、インビザライン症例数が年間81~150件以上の実績をもつ「プラチナエリートドクター」として認定されています。診断からシミュレーション、治療完了後の仕上がりまで、すべてにこだわった矯正治療を提供しています。
当院では、事前に歯の動きを3Dで「見える化」し、患者さまにもわかりやすくご説明。治療前にゴールの歯並びを共有することで、納得のいく治療がスタートできます。
矯正治療は長期間にわたるため、信頼関係のもと、丁寧に進めることが大切です。
荏田ファミリー歯科・矯正歯科では、ワイヤー矯正・マウスピース矯正(インビザライン・エンジェルアライナー)いずれの方法でも、事前の検査・診断を重視し、患者さま一人ひとりのかみ合わせや顔貌とのバランスを考慮した理想的な歯並びを目指します。
治療中も適宜微調整を行い、ただ整えるだけでなく「噛める・見た目も整う」本質的な矯正を提供。治療の進捗や残りの期間についても随時共有し、患者さまが前向きに取り組めるよう丁寧なコミュニケーションを心がけています。
治療の進み具合や、今後必要な治療期間についてもその都度お話するので、患者さまご自身に納得いただきながら前向きに治療に取り組んでいただけます。
虫歯治療や補綴治療も長年担当してきた経験豊富な歯科医師です。
歯並びの改善が歯周病リスクの低下につながる場合や、被せ物の安定に関係することもあるため、長持ちする治療を考えた包括的なプランニングを行っています。
また、クリーニングやホワイトニングなどの審美治療も矯正と同時に進めることができ、歯並びと歯の色、両方の美しさを追求できます。
細やかな調整が可能な、信頼性の高い矯正法
金属やセラミックのブラケットを歯の表面に装着し、ワイヤーの力で理想的な位置へ歯を動かしていきます。
あらゆる歯並びに対応でき、細かな力の調整ができるのが特徴です。
表側矯正はもちろん、目立ちにくいホワイトワイヤーのご相談にも対応しております。
難症例にも適応できる場合があります。
透明で取り外し可能。ライフスタイルに合わせやすい矯正法。
透明なマウスピースを段階的に交換しながら歯を動かしていく矯正治療です。
装置が目立ちにくく、食事や歯みがきの際には取り外しができる点が特徴です。
当院では年間80症例以上を扱う「プラチナエリートドクター」認定医が治療を担当。患者さまのご希望やお口の状態に合わせて、適した治療計画をご提案いたします。
エンジェルアライナーは、アジア人の歯列傾向や顎の骨格に着目して設計されたマウスピース型矯正装置です。
開発段階からアジア圏の症例データが数多く活用されており、日本人を含むアジア人に多い歯並びの特徴に合わせやすい設計がなされています。
そのため、一般的なマウスピース矯正では治療が難しいと判断されることのある症例にも、適応の可能性が広がる場合があります。
使用する素材や装着ステップの工夫により、歯の移動とフィット感の効率化を目指したシステムです。
マウスピース型装置による矯正が適応するか口腔内をチェック。具体的な方法や期間、メリット・デメリット、費用について詳しい説明を聞き、むし歯や歯周病がある場合はそちらの治療が先となります。当院ではオンラインでのカウンセリングにも対応しております。
シミュレーションシステムを使った装置装着後の歯の動きの予測イメージや、矯正期間などの説明を受けます。仕上がり具合に対する要望があれば、この時点で歯科医師に相談してください。
エックス線写真や顔写真、口腔内写真の撮影、CTなどによる検査を受けます。当院の歯型採取では、体への負担が少なく口腔内を立体的に把握できる3Dスキャナーを使用します。歯科医師は検査結果をもとに、計画を立案し、患者様一人ひとりに合った装置を作製します。
装置は2~3週間程度で完成します。歯科医師から着脱方法などを学んだあとは、患者様自身で1週間ごとに新しい装置に交換をします。1日の装着時間を守ること、食事の後は歯磨きとフロスをしてから装着すること、装着したまま食事をしないことが重要です。
歯並びが整った段階で、1年半〜2年程「後戻り」を防ぐための保定用マウスピースを装着します。歯並びが安定したら、保定用マウスピースの装着時間を少しずつ短くしていきます。保定期間中は3ヶ月に1回通院し、口腔内のチェックを受けます。
※治療結果には個人差があります
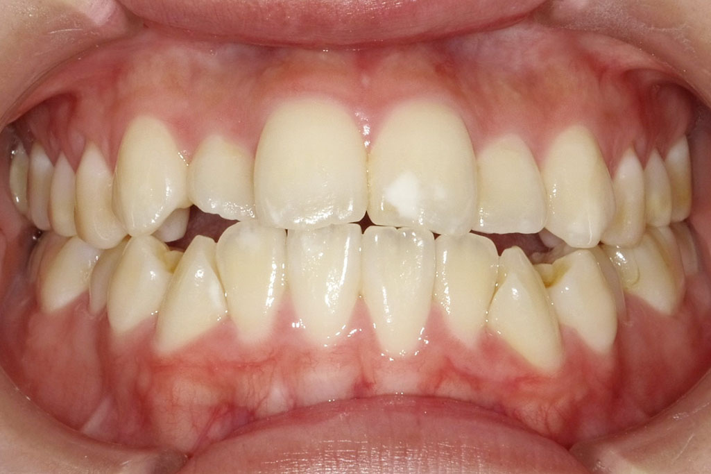
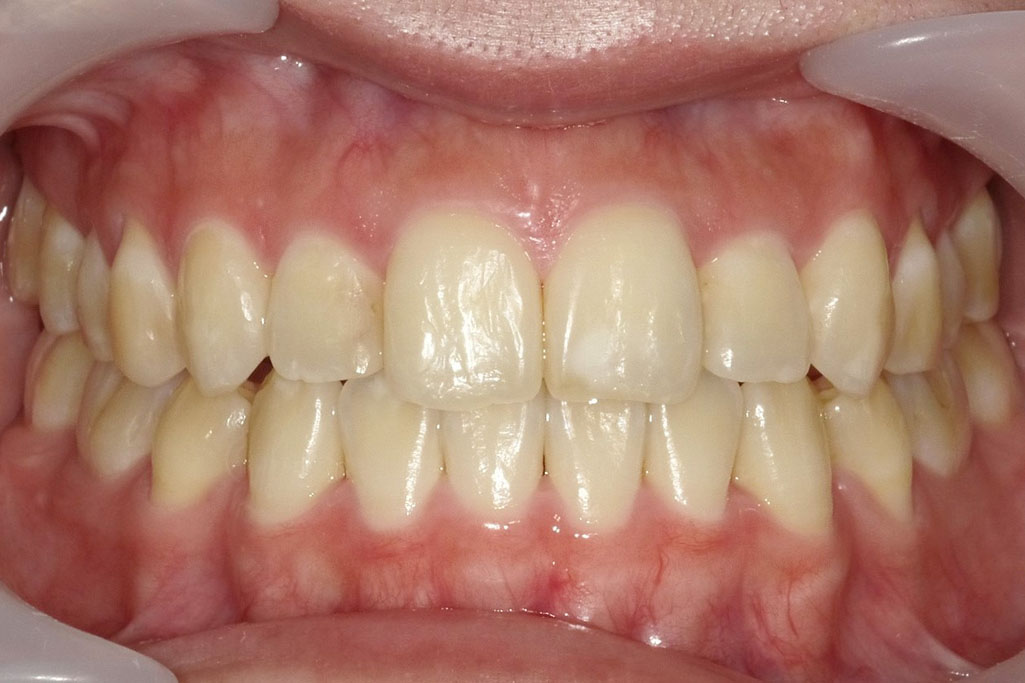
| 年齢 | 50代 |
|---|---|
| 処置 | マウスピース型矯正装置(インビザライン・薬機法対象外) |
| 治療内容 | 奥歯の遠心移動と歯列の側方拡大、IPR(歯と歯の間のヤスリ掛け)を併用し、前歯を突出させることなく、前歯部の凸凹を改善 |
| 治療期間 | 2年 |
| 費用 | ¥700,000-(税別) |
術前

術後

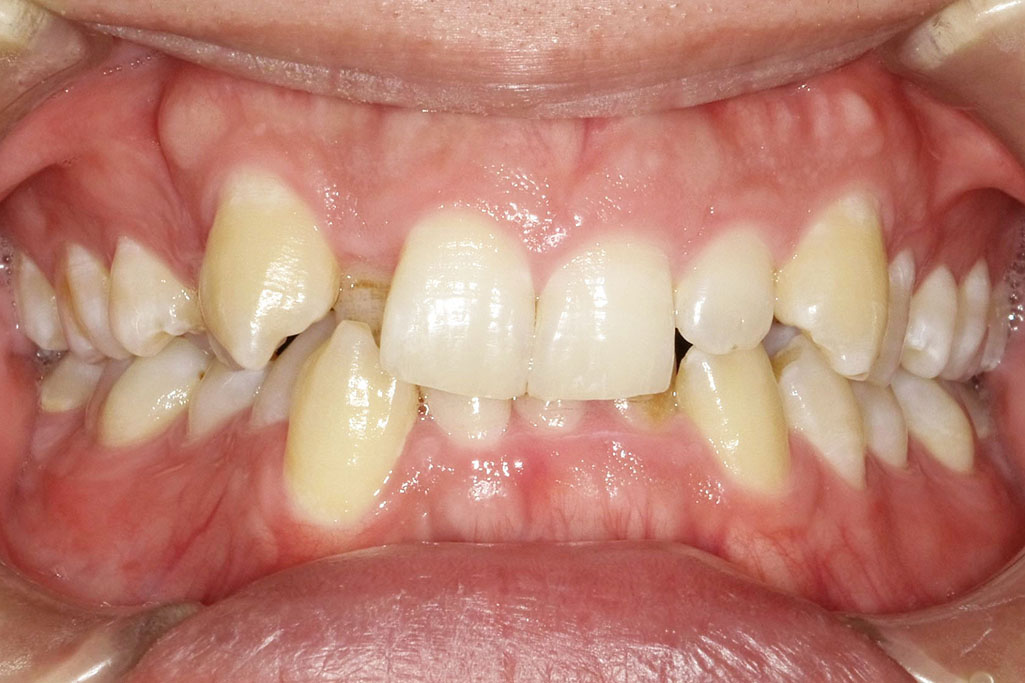
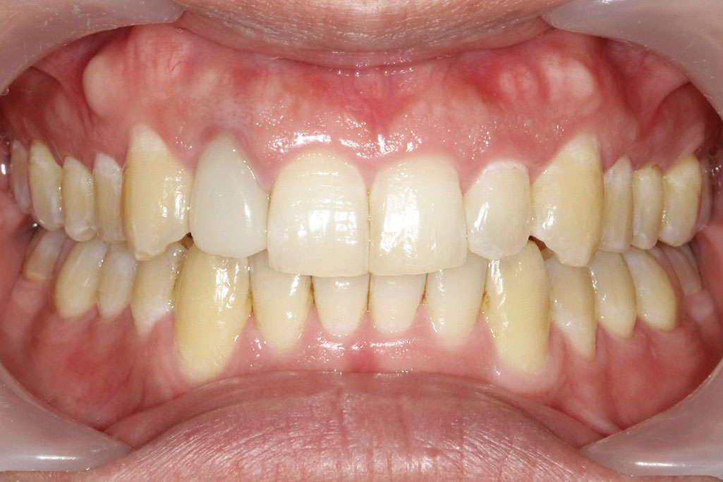
| 年齢 | 20代 |
|---|---|
| 処置 | マウスピース型矯正装置(インビザライン・薬機法対象外) |
| 治療内容 | 便宜抜歯をせずに、八重歯と左側前歯部反対咬合を改善 |
| 治療期間 | 2年6カ月 |
| 費用 | ¥800,000-(税別) |
術前

術後

| 年齢 | 20代 |
|---|---|
| 処置 | マウスピース型矯正装置(インビザライン・薬機法対象外) |
| 治療内容 | 下の歯を2本便宜抜歯し、前歯部反対咬合と前歯部凸凹を改善 |
| 治療期間 | 2年11カ月 |
| 費用 | ¥800,000-(税別) |
術前

術後

| 年齢 | 50代 |
|---|---|
| 処置 | マウスピース型矯正装置(インビザライン・薬機法対象外) |
| 治療内容 | 奥歯の遠心移動と歯列の側方拡大、IPR(歯と歯の間のヤスリ掛け)を併用し、便宜抜歯せずに、前歯部の凸凹を改善 |
| 治療期間 | 2年8カ月 |
| 費用 | ¥800,000-(税別) |
術前

術後


無料矯正相談
矯正治療のハードルを下げるため、通院回数を減らす取り組みを行っています。
仕事などで忙しい方には、オンラインでの無料相談を実施。
休診日や20時以降も対応可能です。
マウスピース矯正では、メッセージアプリを使った「デンタルモニタリング」を導入し、頻繁な通院が難しい方でも継続しやすいよう配慮しています。