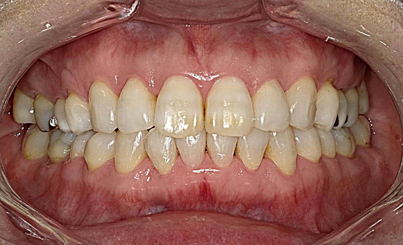
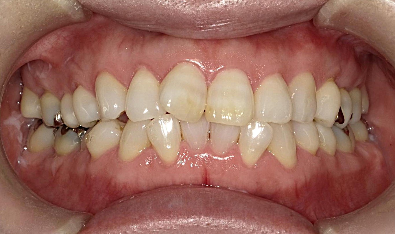
症例 前歯部凸凹 50代女性 2026.04.24 症例 治療前 治療後 術名 マウスピース型矯正装置(インビザラインモデレートプラン・薬機法対象外) 年齢 50代女性 主訴 前歯の凸凹 診断名 叢生(そうせい) 治療内容 奥歯の遠心移動と歯列の側方拡大、IPR(歯と歯の間のヤスリ掛け)を併用し、前歯を突出させることなく、前歯部の凸凹を改善 治療期間 1年9か月 費用 ¥540,000-(税別) リスク、副反応 歯および口腔粘膜の痛み・歯の動揺・歯肉退縮・歯根吸収・歯髄壊死・矯正治療後の歯の後戻り 上下前歯部叢生(凸凹)40代 前の記事