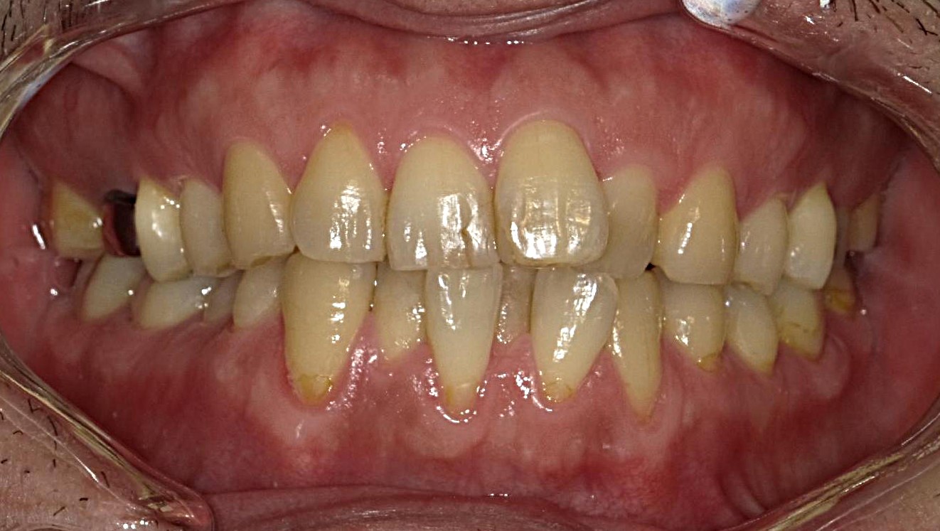
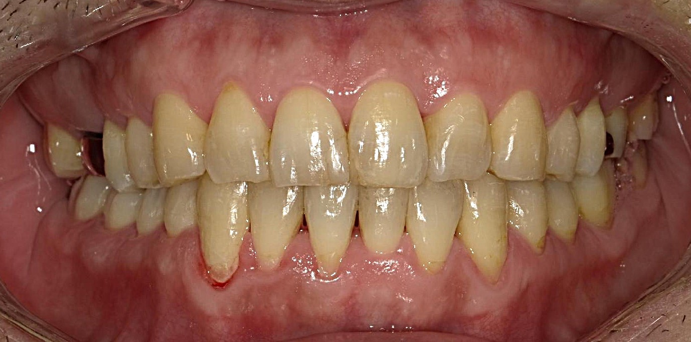
症例
治療前
治療後
- 術名
- マウスピース型矯正装置(インビザライン・薬機法対象外)
- 年齢
- 40代 男性
- 主訴
- 下顎前歯部の重度の叢生(でこぼこ)、前歯の噛み合わせが深い
- 診断名
- 右側側切歯の反対咬合と叢生を伴うアングル1級
- 治療内容
- マウスピース型矯正装置(インビザライン・薬機法対象外)を用い、奥歯の遠心移動、歯列の側方拡大、IPR(歯の側面を削る処置)を行うことで、小臼歯を抜歯せずに歯列を整えました。なお、側貌(横顔)に突出感などの問題がなかったため、非抜歯でのアプローチを採用しています。
- 治療期間
- 1年11ヵ月
- 費用
- ¥700,000-(税別)
- リスク、副反応
- 歯および口腔粘膜の痛み・歯の動揺・歯肉退縮・歯根吸収・歯髄壊死・矯正治療後の歯の後戻り