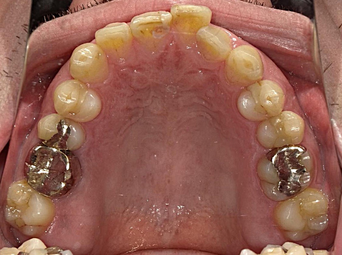
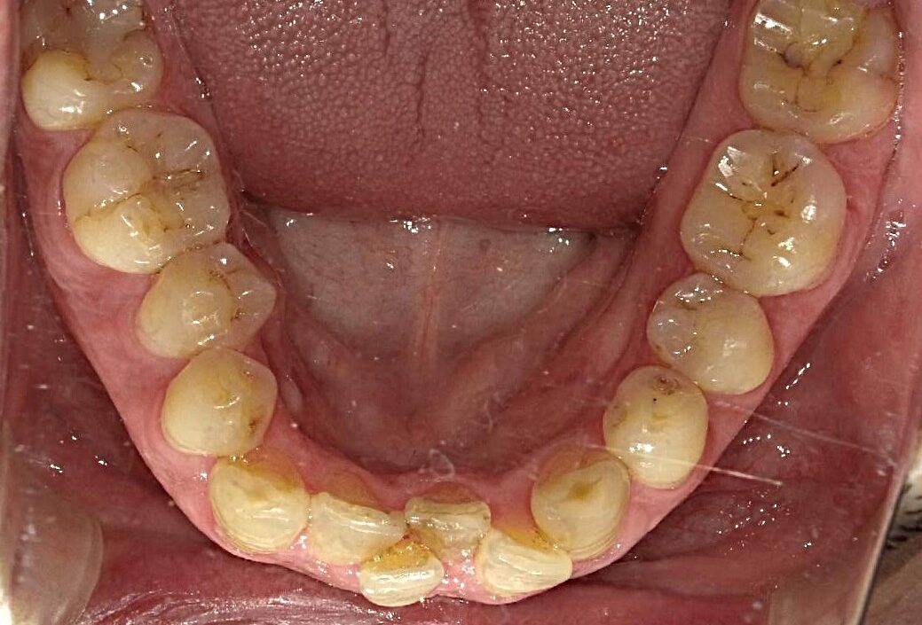
マウスピース型矯正装置
(インビザライン)で
前歯部の凸凹(叢生)を
改善した症例
※治療結果には個人差があります
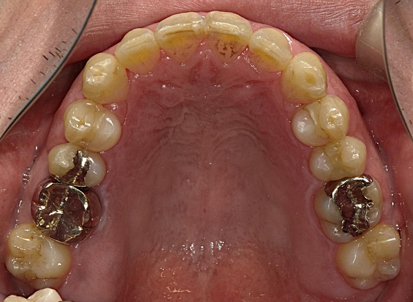
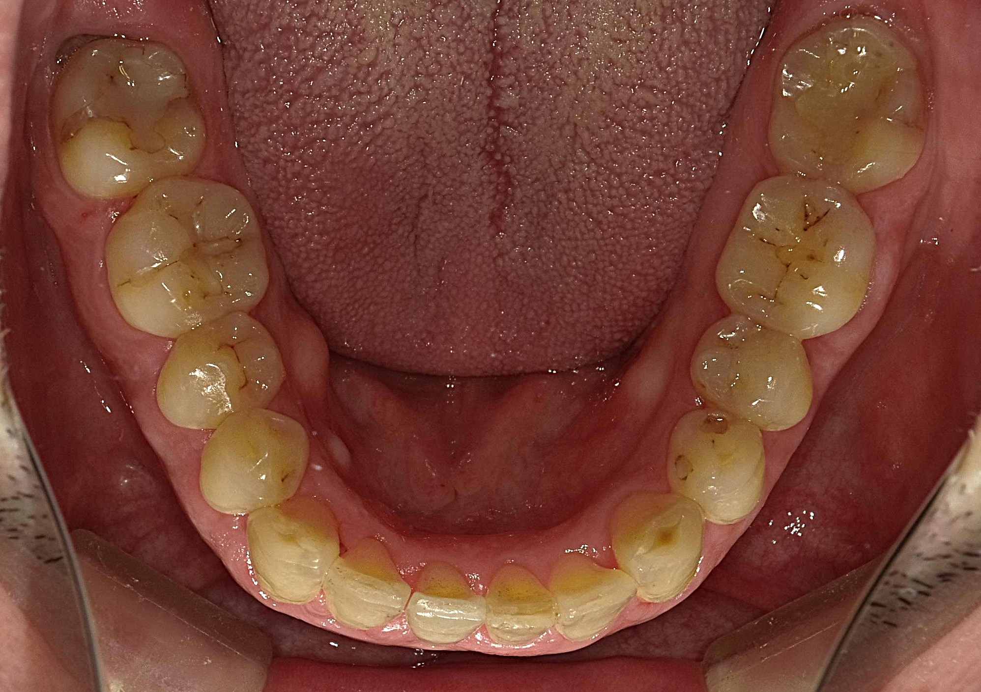
(インビザライン)で
前歯部の凸凹(叢生)を
改善した症例
※治療結果には個人差があります
| 年齢 | 50代 |
|---|---|
| 処置 | マウスピース型矯正装置(インビザラインモデレートプラン・薬機法対象外) |
| 治療内容 | 奥歯の遠心移動と歯列の側方拡大、IPR(歯と歯の間のヤスリ掛け)を併用し、前歯を突出させることなく、前歯部の凸凹を改善 |
| 治療期間 | 1年9か月 |
| 費用 | ¥540,000-(税別) |
術前



術後



リスク・副作用:
歯および口腔粘膜の痛み・歯の動揺・歯肉退縮・歯根吸収・歯髄壊死・矯正治療後の歯の後戻り
歯および口腔粘膜の痛み・歯の動揺・歯肉退縮・歯根吸収・歯髄壊死・矯正治療後の歯の後戻り